Gigi merupakan aset berharga yang mendukung kehidupan sehari-hari. Masalah gigi memerlukan penanganan tepat oleh ahlinya. […]
Kategori: Gaya Hidup
Kami hadirkan inspirasi gaya hidup terkini. Dari fashion, makanan, hingga dekorasi. Semua kamu dapatkan dalam bahasa yang mudah dan ramah.
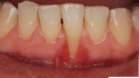
Atasi Resesi Gusi: Panduan Lengkap Penyembuhan & Pencegahan
Pernahkah Anda memperhatikan gusi Anda terlihat menyusut, sehingga gigi tampak lebih panjang dan terasa sensitif? […]
Rahasia Ampuh Atasi Bayi Rewel Saat Tumbuh Gigi
Tumbuh gigi pada bayi adalah momen penting bagi orang tua, namun seringkali diiringi gejala seperti […]
Gigi Palsu Ternyaman? Temukan Pilihan Terbaik & Terpercaya Sekarang
Memilih gigi palsu yang tepat sangat penting untuk kenyamanan berbicara dan makan. Ketepatan pemilihan berdampak […]
Hilangkan Karang Gigi Membandel? Coba 3 Cara Ajaib Pakai Garam
Karang gigi, lapisan keras yang menempel pada gigi, terbentuk dari sisa makanan dan bakteri yang […]
Waspadai 5 Gejala Kandidiasis Oral: Infeksi Jamur di Mulut
Kandidiasis oral, atau sariawan jamur, seringkali menyerang bayi dan anak-anak. Namun, orang dewasa pun rentan […]
Hentikan Bruxism: Rahasia Mengatasi Gerakan Gigi Saat Tidur
Pernahkah Anda terbangun dengan rahang yang terasa nyeri atau pegal? Atau mungkin pasangan Anda pernah […]
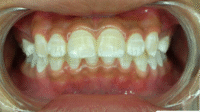
Atasi Crossbite Anda: Panduan Lengkap Perawatan Gigi Terbaik
Posisi gigi yang tepat sangat penting untuk kesehatan mulut. Ketidaksejajaran gigi bisa menyebabkan berbagai masalah, […]
Rahasia Perawatan Gigi: Atasi Hipoplasia Enamel Secara Alami
Hipoplasia enamel, sebuah kondisi yang seringkali luput dari perhatian, berdampak signifikan pada kesehatan gigi. Gangguan […]
Hilangkan White Spot Gigi: Rahasia Senyum Putih Sempurna
Pernahkah Anda melihat bercak putih kecil pada gigi? Kondisi ini seringkali diabaikan karena dianggap sebagai […]